El microscopio electrónico de transmisión y la biología celular
La revista +Ciencia de la Facultad de Ingeniería nos comparte un interesante artículo sobre algunas aplicaciones del microscopio electrónico de transmisión en las ciencias biológicas.
La revista +Ciencia de la Facultad de Ingeniería nos comparte interesantes artículos como el de un analizador de quimioluminiscencia, la técnica de espectroscopía de dispersión de energía como auxiliar para conocer mejor los materiales o el análisis del modelo de la Torre Eiffel, así como uno sobre el microscopio electrónico.
El microscopio electrónico de transmisión
Resumen
Desde su invención, el microscopio electrónico ha sido utilizado en el estudio de la estructura fina de la materia viva y no viva con un detalle de dimensiones de micrómetros y nanómetros, es decir, para el estudio de la ultraestructura.
Los microscopios electrónicos pueden ser de barrido o de transmisión. En este trabajo se exponen algunas aplicaciones del microscopio electrónico de transmisión en las ciencias biológicas, haciendo énfasis en su papel en estudio de las estructuras de la célula que permitió la consolidación de la biología celular.
Introducción
Los microscopios ópticos utilizan luz y lentes de vidrio para generar imágenes a partir de objetos con detalles de hasta 0.2 µm. Si se utilizan electrones en lugar de luz y lentes electromagnéticas en lugar de las de vidrio, se pueden obtener imágenes de objetos cuyos detalles pueden ser mucho más pequeños, hasta de unos 0.005 µm. Con la idea de superar la limitación que impone el uso de la luz como fuente de energía en un microscopio, se inventó el microscopio electrónico hace 90 años, en 1932. Gracias a su invento fue posible pasar de un análisis en la dimensión de micrómetros a la dimensión de fracciones de micra e incluso en el nivel de los nanómetros y angstroms. Al paso de los años, se desarrollaron los dos tipos de microscopios electrónicos que conocemos hoy en día, es decir: 1) el microscopio electrónico de transmisión (TEM, por sus siglas en inglés) y 2) el microscopio electrónico de barrido (SEM, por sus siglas en inglés). El TEM nos permite el estudio de la estructura interna de las muestras, en tanto que el SEM permite el análisis de la estructura de la superficie.
La capacidad del microscopio electrónico para obtener una resolución muy superior a la del microscopio óptico o de luz favoreció su utilización en el estudio de la estructura fina de la materia, tanto no viva como viva, en particular el estudio de la organización interna de la unidad estructural de los seres vivos, la célula.
Primeros estudios de material biológico con el TEM
Desde el siglo XVII, tanto R. Hooke como A. van Leeuwenhoeck observaron células con el microscopio óptico. Durante el siglo XIX, T. Schwann y M. Schleiden postularon la Teoría Celular proponiendo que todos los seres vivos están formados por células. En efecto, esta fue la primera teoría robusta que fue configurando a la biología como una ciencia. Ello promovió el estudio de la estructura de una gran cantidad de especies biológicas con el microscopio óptico, fortaleciendo esa teoría. Sin embargo, debido a la limitación del poder de resolución de los microscopios, no fue posible avanzar en el conocimiento de su estructura fina que ayudara a comprender su función a mayor profundidad. Además, el material tenía que ser preparado para obtener rebanadas muy delgadas, de unas cuantas micras o micrómetros de espesor, por las que pudiera ser transmitida la luz que irradia a la muestra.
Debido a falta de color en las muestras biológicas, fue necesario desarrollar también técnicas de tinción que facilitaran distinguir entre unos componentes de la célula y otros. Por ello, cuando se inventa el microscopio electrónico por Max Knoll y Ernst Ruska, se abre la posibilidad de estudiar a la célula en su estructura interna fina. En efecto, poco después de su invención a principios de los años 1930, Marton en Bélgica preparó la primera muestra biológica que observó con el microscopio electrónico de transmisión.
El profesor Marton utilizó una rebanada de una hoja de la plata carnívora Drosera intermedia. Aunque solamente observó con 65 aumentos del tamaño real, la imagen resultante mostraba una resolución o nitidez muy superior a la lograda hasta entonces con los microscopios ópticos más potentes. En la imagen se observa una rejilla o soporte de la muestra y una sección de la hoja en donde se aprecian células de la epidermis.
Primera imagen de una muestra biológica registrada con el microscopio electrónico de trasmisión en 1932. Se trata del corte de una hoja de una planta colocado sobre una malla de metal.
Durante el siglo XX
La utilización del microscopio electrónico de transmisión también permitió por primera vez observar la estructura de los virus, hasta entonces solamente concebidos como entidades patógenas intangibles relacionados con la palabra veneno. Una de las primeras observaciones la realizó el profesor Thomas Anderson a principios de los años 1940, con los virus bacteriófagos T4. Las imágenes de la estructura del virus obtenidas con el TEM eran tan complejas que les sugirieron que parecían renacuajos. Desde entonces la microscopía electrónica de transmisión ha facilitado el estudio de la diversidad morfológica de los virus.
Posteriormente, siguieron estudios de la estructura de las células y de los tejidos. Muy pronto se notó que, para estudiar la estructura interna de las células con el TEM, era necesario llevar a cabo una preparación de la muestra que 1) generara cortes o rebanadas muy delgadas por las cuales los electrones pudieran ser transmitidos, que 2) eliminara restos de líquido, debido a que las muestras se introducen en una cámara de vacío y que 3) fuera resistente al impacto de un haz de electrones acelerados. Adicionalmente, las muestras biológicas con-tienen mayormente átomos de número atómico bajo, por lo que son casi transparentes a los electrones, lo que hizo necesario añadirles de manera selectiva átomos de elevado número atómico, que añadieran contraste adicional a las muestras. Por lo anterior, se requirieron de varias décadas para lograr que las muestras a observar fueran cortadas en rebanadas muy finas, de unas fracciones de micrómetro de es-pesor —entre 30 y 90 nanómetros—, que fueran estables al impacto del haz de electrones y que se extrajera todo el líquido de ellas.
Así, surgió un procedimiento estándar para la preparación de muestras biológicas para su observación con el microscopio electrónico de transmisión. También, a lo largo del tiempo, se diseñaron variantes a ese procedimiento estándar, tanto para la observación de diferentes tipos de muestra como para el estudio de la composición y localización de moléculas específicas.
La microscopía electrónica y la biología celular
El uso de una técnica estándar para microscopía electrónica de transmisión en ciencias biológicas contribuyó definitivamente a conocer la estructura fina de la célula. Por ejemplo, se detalló la estructura de la mitocondria y se descubrió la presencia de las llamadas crestas mitocondriales, esenciales para entender la respiración celular. El retículo endoplásmico rugoso y el aparato de Golgi que, aunque fueron observados por primera vez en 1902 y 1898 respectivamente, fue hasta la década de los años 1950 que se confirmó su existencia con el uso del microscopio electrónico de transmisión. Asimismo, gracias al uso de este instrumento se confirmó la presencia de vesículas y microvesículas relacionadas con el transporte de moléculas por la ruta secretora, de la que forman parte esos organelos. Del mismo modo, fue posible observar las partículas nanométricas relacionadas con diferentes eventos del metabolismo como la transcripción, la cadena respiratoria o el sustrato morfológico de la fotosíntesis, i,e, los tilacoides del cloroplasto.
Asimismo, el procedimiento de observación de estructuras aisladas como la ATP sintasa, el DNA y el RNA o las proteínas. De manera notable, otros hallazgos como el descubrimiento del ribosoma por G. Palade y el retículo endoplásmico por K. Porter, realiza-dos con el microscopio electrónico de transmisión, permitieron el surgimiento de la biología celular como una disciplina encaminada a estudiar la célula normal y la célula patológica.
También se pudieron describir con este instrumento los lisosomas, los microcuerpos o la estructura fina del nucléolo, organelo en donde se producen los ribosomas citoplásmicos en eucariontes, esenciales para la producción de proteínas en todos los seres vivos.
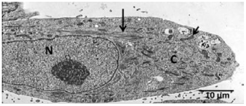
Micrografía electrónica de una célula humana. En el núcleo (N) y en el citoplasma (C) se observan diferentes estructuras. En el citoplasma las flechas pequeñas señalan a las mitocondrias. La flecha más grande señala el citoesqueleto.
Ultraestructura a mayor aumento de citoplasma (C) de una célula humana muestra varios organelos y estructuras submicroscópicas como el retículo endoplásmico rugoso, que está señalado por la flecha delgada. También se observan mitocondrias (flecha gruesa) y endosomas. (e) El citoplasma contiene abundantes partículas que corresponden a los ribosomas.
Micrografía electrónica de transmisión de una célula de la hoja de la planta teocintle (Zea perennis). Se observa la estructura interna que consta de núcleo (N) y nucléolo (nu), vacuola (V), mitocondria (m) y pared celular (Pc). La línea indica la escala de 5 µm que permite calcular la longitud de la célula en unas 20 µm.
Ultraestructura de una mitocondria (m). Este organelo está recubierto por dos membranas. La flecha señala una cresta mitocondrial en donde ocurre la cadena respiratoria. Fuera de este organelo hay retículo endoplásmico rugoso (RER) y ribosomas (r) en donde se lleva a cabo la síntesis de las proteínas.
¿Qué contienen las estructuras submicroscópicas?
Adicionalmente al estudio de la estructura de las células y de los tejidos, la producción de mapas moleculares o químicos in situ ha sido un área de desarrollo. Para ello, se han producido variantes del procedimiento estándar de preparación de muestras. Combinadas con la utilización de marcadores químicos o con sondas moleculares como anticuerpos y secuencias de ácidos nucleicos, surgieron técnicas de localización de ácidos nucleicos y proteínas que han contribuido a la generación de mapas moleculares relacionados con la expresión génica. Tal es el caso de la inmunomicroscopía electrónica y de la hibridación in situ ultraestructural de ácidos nucleicos. Con ello, es posible conocer la composición in situ de estructuras submicroscópicas celulares que contienen genes y los productos de su expresión, como las nanorribonucleoproteínas (nanoRNP).
Perspectivas
Las nuevas técnicas como la criomicroscopía electrónica ya señalan un desarrollo sobre el conocimiento de las estructuras celulares a nivel de resolución molecular dentro de la célula, tanto procarionte como eucarionte. Sin duda, los avances se encaminan al conocimiento a nivel molecular de las estructuras celulares, así como a su composición de genes y sus productos de expresión, lo que permitirá el conocimiento de las funciones específicas en la vida de las células.
Hoy en día el estudio de los territorios intracelulares relacionados con la organización de los genomas y sus productos en forma de RNA y/o proteínas son motivo de análisis.
Agradecemos el apoyo técnico de la Bióloga Saraí Cruz Gómez y del Biólogo Diego García Dimas, por la preparación de la muestra de teocintle.
*Artículo de Luis Felipe Jiménez García y María de Lourdes Segura Valdez, investigadores del Departamento de Biología Celular de la Facultad de Ciencias de la Universidad Nacional Autónoma de México (UNAM).
Referencias
- Alberts, B., Johnson, A., Lewis, J., Morgan, D., Raff, M., Roberts, K., & Walter, P. (2015). Molecular biology of the cell, 6th ed. Garland Science.
- Fawcett, D. W. (1981). The cell, 2nd ed. Saunders.
- Marton, L. (1934). Electron microscopy of biological objects. Nature, 133, 911.
- Pollard, T. D., Earnshaw, W. C., Lippincott- Schwartz, J.,& Johnson, G. T. (2017). Cell Biology, 3rd ed, Elsevier.
- Porter, K. R., & Bonneville M. A. (1973). Fine structure of cells and tissues, 4th ed. Lea and Febiger.
Da clic en la portada para conocer la revista completa
Para más artículos interesantes como este, te invitamos a consultar +Ciencia, la revista cuatrimestral de la Facultad de Ingeniería, que en cada número tiene contenido relevante de sus alumnos e investigadores. Da clic aquí para conocer todas las ediciones.
Más información:
+Ciencia. Revista de la Facultad de Ingeniería
Dra. María Elena Sánchez Vergara
elena.sanchez@anahuac.mx

